Liane Caroline

Cirurgiã Dentista

CRO/RS 24331

Humanize Odontologia

Cuidando do seu sorriso com técnica, carinho e propósito

Sou proprietária da Humanize Odontologia e, junto com um time muito especial, estamos aqui para restabelecer e transformar o seu sorriso, unindo tecnologia, cuidado humano e excelência em cada atendimento.

Atualmente, a clínica conta com as seguintes especialidades:

Ortodontia

aparelhos fixos

Implantodontia

Cirurgias de extrações dentárias

Próteses dentárias

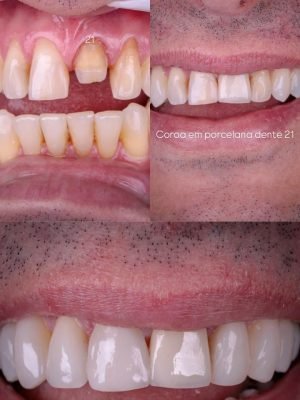
Estética do sorriso

lentes em porcelana e resina composta

Atendimento infantil

Clínica geral

limpeza dentária, restaurações e clareamento dental

Será uma alegria receber você e cuidar do seu sorriso com atenção e respeito em cada detalhe.

Atendimento
Infantil

Sobre mim

Sou cirurgiã-dentista, formada há 9 anos, e apaixonada por transformar sorrisos e devolver autoestima por meio da odontologia.

Atuo como clínica geral, com foco na estética do sorriso, especialmente em tratamentos com lentes em resina e porcelana. Atendo desde crianças até adultos, sempre priorizando um atendimento acolhedor, humano e baseado em confiança.

Acredito na importância da conexão, da escuta e de um bom diálogo com cada paciente — afinal, cada sorriso tem uma história única.